2017年8月12日 星期六

牙科洗牙、檢查應該多久做一次?

*** 牙科洗牙、檢查應該多久做一次?

http://phototw.blogspot.tw/2017/08/blog-post.html

牙科洗牙
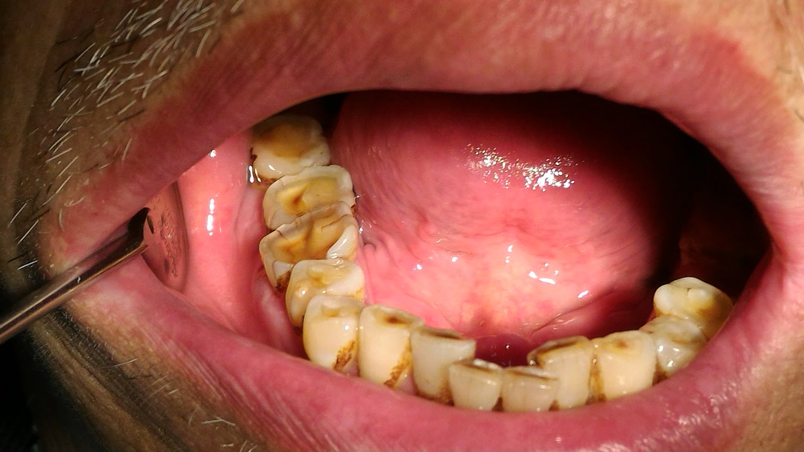
健保規定每六個月可以到牙科診所洗牙。
主要是利用超音波清除牙結石,同時做口腔檢查。

洗牙時盡量放輕鬆,洗牙造成的酸痛、不舒服會減輕很多。
有些人特別敏感,太緊張的話,反而更是專注、放大酸痛、震動的效果。

牙刷牙線有正確使用的話,多數半年還是很乾淨,也可能下顎舌側會有一點結石。
一般來說可以一年檢查、洗牙一次即可,中間有酸痛、不適則臨時約診。

洗牙是用超音波洗牙機的震動把結石震下來。
有結石的地方才需要洗,乾淨的話不需要再用超音波震,免得傷到牙齒。

結石常見附著在牙頸部,往牙根延伸,甚至藏到牙齦下面
牙結石沒定期清除會造成牙齦發炎、萎縮,形成牙周囊袋。

牙刷刷不掉結石,必須用洗牙機清除。
牙結石附著在牙頸部,往牙根蔓延,加上洗牙機是超音波震動方式去除結石,
所以洗牙時會稍微有點酸、震動、有聲音,擠壓到牙齦是正常現象,因為牙頸部和牙根是牙本質,有感覺的。
牙結石多的話,甚至會藏到牙齦下面,這種情況下洗牙會比較酸、比較不舒服是無法避免的。

有人會希望洗牙洗個15~20分鐘,(洗夠本的),

其實有結石的地方才需要洗,乾淨的話不需要再用超音波震,免得傷到牙齒。
刷牙刷太用力都會造成牙頸部嚴重磨損,
你覺得洗牙機在牙齒表面震動太久,會不會傷到牙齒?

台灣的健保+總額,造成醫療商業化

=>醫師講的是患者喜歡聽的,就是好醫師?

***尊重專業,良好溝通

=>如果醫師講的和你所想的不一致,你可以多詢問、了解。
比如:為什麼建議你趕快做假牙?為什麼叫你拔智齒?
為什麼醫師告訴你的,和你想的不太一致?

◆◆◆◆◆◆◆◆◆◆◆◆◆◆◆◆◆◆◆◆◆◆◆◆

★牙科 參考目錄 _~蔡議德醫師

http://phototw.blogspot.tw/2018/03/blog-post_27.html

◆◆◆◆◆◆◆◆◆◆◆◆◆◆◆◆◆◆◆◆◆◆◆◆

2017年6月5日 星期一

旅行_行動電源/備用鋰電池:只能隨身登機,不得托運

*** 行動電源/備用鋰電池:只能隨身登機,不得托運

http://phototw.blogspot.tw/2017/06/blog-post.html
************************
 
Wh (瓦特/小時,簡稱瓦時) = mAh (毫安培 / 小時) / 1000 x Volt (電壓)
 
民航局規定上寫的還是海關檢查的時候,都是會依據這「Wh」單位,所以先讓我們知道「Wh」瓦時的存在 

民航局、The International Air Transport Association (IATA) 國際航空運輸協會等的規定:
關於鋰電池之攜帶/鉛酸電池之規範 -
(1)
攜帶備用鋰電池及行動電源 (充電寶/移動電源) 的限制, 
備用電池須個別保護避免短路,如放置於電池保護盒,或於電極上貼上絕緣膠帶或個別放入塑膠保護袋中,不可放置於託運行李中

 100 瓦特小時以下之備用鋰電池雖無數量限制,但攜帶數量必須合理及限個人使用。
對於行動電源 / 充電寶本體若無明確標示規格或數值則一律禁止攜帶
 
(2) 須經航空公司同意,備用鋰離子電池 (含行動電源/充電寶) 超過 100 瓦特-小時但不超過 160 瓦特-小時(),每個人最多可於手提行李中攜帶個備用電池上機,超過 160 瓦特小時則禁止攜帶。

所以重點一下,
* 帶行動電源上飛機請記得 100 160 兩個數字。
*低於 100Wh 的雖然沒有數量的限制,但仍要符合合理數量與明確標示兩大重點;
*100Wh - 160Wh 最多兩個;
*超過 160Wh超過 160 瓦特小時則禁止攜帶。

如果是像可以充筆電的這款 24,000mAh 行動電源沒有標示 Wh 的時候,就讓我們自己用公式來計算一下。
        24,000mAh / 1,000 x 5V = 120Wh
因此就要注意出國的時候已經在你的隨身行李中佔了一個備用電池額度唷!

當然裝置裡的電池,像是手機、相機... 等並不列在備用電池中,因此是可以放心的跟著隨身行李上機。
不管是相機、手機、筆電...等,對許多朋友來說出國的時候電池佔了相當重要的一環,因此不僅要記得電池是必須跟著隨身行李上機,而絕對禁止託運以外,也要注意自己的行動電源是否符合安全的規定
 
************************  
 * 行動電源托運還是隨身帶?新手最常見7樣飛安違禁品
自拍神器因為規格不符合飛安規定,因此需要存放於托運行李之中。


2015年度飛安宣導大會上,由內政部警政署航空警察局分隊長詹益榮所領軍的7名飛安大使團,也親自為《ETtoday新聞雲》的讀者提醒與介紹日常生活中常見的飛安違禁品,讓旅客更能了解哪些東西不能帶上飛機、哪些東西只能托運。
1. 行動電源/備用鋰電池:只能隨身登機,不得托運
隨著3C用品發展,行動電源可說是最常出現的飛安違禁品。為了避免行動電源在貨艙內短路引發火災,因此行動電源僅能隨身登機。民眾在機場櫃檯劃位時,地勤組員也都會主動告知。若是在通過X光機檢查時發現行動電源,旅客也會被要求取出後才能登機。另外數位相機等備用電池,也需要利用電池保護盒、電極上貼上絕緣膠帶等方式保護。(特殊功能的鋰電池有登機需求,需另向航空公司登記)

2. 自拍神器不得隨身登機,需托運
只要拉長就可以取得最佳拍照角度的自拍神器,因為屬於長度超過25公分、管徑超過1公分的棍棒工具,因此不得隨身攜帶。另外大型的相機腳架,也需放置於托運行李之中。

3. 鉛酸電池:不得隨身登機,不得托運
充電式手電筒、充電式電蚊拍常用的鉛酸電池,因內部結構問題,所以禁止登機。詹益榮表示,鉛酸電池在X光機下無所遁形,所以旅客請勿攜帶登機。若是有醫療需求的乘客,也需向航空公司登記申請登機。

4.打火機:限款式可隨身登機,不得托運
依照台灣規定,旅客僅限隨身攜帶1個打火機登機,不得托運,同時也禁止攜帶防風型打火機、打火機油登機。另外旅客也需注意各地機場規定差異,中國機場就禁止攜帶與托運打火機
台灣旅客可攜帶一個非防風款的打火機隨身登機。

5. 雨傘:視款式可隨身登機,可托運
雨傘由於骨架結構強度較低,因此可以隨身攜帶登機。但是詹益榮提醒旅客,許多觀光景點販售的雨傘常會有武士刀、機關槍等誇張造型,該類型雨傘則需視情況托運以避免造成困擾與危害安全。

6. 羽毛球拍:可隨身登機,可托運
若是棒球棒、高爾夫球桿、釣魚桿等可能轉變為攻擊性武器的運動用品,依規定是無法攜帶登機;但若是羽毛球拍等器材,在符合航空公司規定下則可隨身登機。

7. 鉛筆盒:內容物符合規定可隨身登機,可托運
在暑假期間,闔家出遊的旅客最常發生的違禁品之一就是「鉛筆盒」。雖然鉛筆盒本身並非危險物品,但因為常常把小朋友背包的鉛筆盒打開以後,裡面置有美工刀、剪刀、圓規等危安物品,令人心驚膽跳。因此飛安大使團也呼籲家長,除了自我檢查之外,出門前勢必要協助孩童檢查隨身用品,以免影響飛航安全。



飛安大使團表示,影響飛行安全的用品可區分為「危安」與「危險」兩大類別。例如剪刀本身是文具,但若經不當人士操作就會具有危險性,便稱為「危安物品」。另外汽油在高空中有易燃危險,故稱為「危險物品」。 
************************  



2017年5月11日 星期四

台灣人的價值觀,台灣人的(驕傲),適者生存

*台灣人的價值觀,台灣人的(驕傲),適者生存

*任性,無知的抱怨
台灣的醫療服務,在連鎖經營的影響之下,逐漸的商業化,
同時醫療專業被同步的忽視,淡化,或者兩極化。
(總額+全世界最便宜的健保之下,開始有高價自費門診)

有位患者很多的醫師曾跟我說:
我知道這一家人口腔都很乾淨,不過你還是要幫她洗久一點,要不然患者會來抱怨沒有洗乾淨。
地板經過打磨之後,的確會很光滑。想必你把洗牙當成磨地板了?
廉價健保的反淘汰。

這種例子,多到不勝枚舉。
在部份人自私自大,任意抱怨的推波助瀾之下,醫師也只能妥協,以免被淘汰。
關懷電話用意不錯,不過刀刃兩面,其運用宜適可而止,也可以溝通,教育。
牙根本來就有感覺,如果卡結石,超音波洗牙怎麼會不酸?
洗牙要打幾支麻藥?當然少碰也會比較不酸。

有個患者說他女兒當護士,忙到便當都沒時間吃。
如果你剛踏入醫療業,也可以移民,美國的護理待遇不錯。

*
*全世界最貴的公共建設

*全世界最便宜的健保+總額制度,不滿意還可以毆打醫護人員
自我意識太強,不尊重專業
看病時,不符自己的想法,先打巴掌,揍醫護人員。
用神明的標準要求醫療人員。

看牙齒,醫師沒有很謙卑的免費補牙,就不是好醫師。
醫師說明太詳實,超過預期,也不是好醫師。

*台大總醫師結婚買不起房子,四大科招不到住院醫師,
和我有什麼關系?

*最高所得替代率  (保障特定族群)

*全世界最適合居住的地區
  (老外的高薪+最便宜的健保+友善,媚外的台灣人,
   簡直就是天堂)

*最成功的政黨,統治幾十年就造成21兆負債,
百姓感恩戴德之餘,懷念德政,期盼重新執政。

*有建設就好,高鐵,捷運單價太高,品質不好,國債21兆,
和我有什麼關系?

陳水扁因為海角七億(?)被全國吐了幾年的口水,聽到民進黨就反射性的激憤不已。
有人犯錯,七億是很多
和21兆相比之下,卻只是零錢。
那些大官,有錢移民,誰還管你有沒有未來呢?

*最成功的市長,建設不多,路面不平,照樣高票連任。

*自私,傲慢,心胸狹窄
*巷道種花,佔地,停車,別人不方便是你家的事

*見不得人好,汽車機車太新,順手檢查烤漆好不好。

*騎機車要右轉彎前,車道如果有小卡車、廂型車,
50%以上會故意夾殺機車道。
這種心胸,也就一輩子只能當送貨司機。

*有的車子太守規矩了,明明路況很好,車子不多,卻故意開得超慢,
自己悠哉悠哉過紅綠燈,後面都別過了。

*跟到不打方向燈的車子,路口被塞了,才知道他老兄要左轉。

*開進口名車,亂停車、隨手丟垃圾。

**********************

2017年4月16日 星期日

三溫暖、溫水游泳池_烤箱、SPA池以及蒸氣室,這些設施的使用順序應該為何? 有什麼需要注意的事項?

三溫暖、溫水游泳池烤箱、SPA池以及蒸氣室,這些設施的使用順序應該為何?
有什麼需要注意的事項?

去游泳的時候
有(紅外線)烤箱、SPA池以及蒸氣室
這些設施的使用順序應該為何?
有什麼需要注意的事項?
紅外線烤箱跟蒸氣室的功能有不同嗎?

 *紅外線燈療室
使用部位:全身
功 能:鬆弛肌肉、促進血液循環,鎮定安撫,加強腎臟功能。

*蒸氣室  
使用部位:全身
功 能: 促進排汗、加強呼吸系統,去除皮膚角質。

蒸氣室:43度,有水蒸氣所以感覺熱
烤箱:75度,乾熱,
兩者都是促進排汗

以下皆為SPA池內設施

*強力腳底按摩
使用部位:足部穴位、經絡、反射區
穴 位:湧泉、至陰
功 能:改善足部關節疼痛、頭痛、目眩、食慾不振、胃腸病、便秘、高血壓。

*鴉嘴沖擊保養泉
使用部位:頭、頸、肩、背
穴 位:百匯、風池、眼點
功 能:消除全身緊張感、疲勞及壓力。

*圓形瀑布擊泉
使用部位:頭、頸、肩、手臂
穴 位:百匯、肩頸、肩骨
功 能:改善頭痛、落枕、五十肩、背痛。

*氣泡按摩床
使用部位:全身部位按摩
穴 位:風門、肺俞、腎俞、曲池
功 能:放鬆情緒、消除疲勞、美化肌膚、瘦身、消除脹氣。

*旋渦池
使用部位:腰、腹部
穴 位:京門、章門、環跳
功 能:按摩前之準備、軟化關節組織、排出體內毒素。

*強力按摩池
使用部位:腰、背、瘠椎
穴 位:神堂、意舍、志室
功 能:消除疲勞、增進血液循環、減低酸痛、改善坐骨神經痛。

*沖瀑灌頂
使用部位:頭、頸、肩
穴 位:百會、肩井、肩骨
功 能:改善頭痛、落枕、五十肩、背痛。

*強力水柱
使用部位:腰、背、手背
穴 位:肩井、眼點、風門
功 能:落枕、五十肩、背痛、手臂酸痛。

*背部沖擊區
使用部位:背部
穴 位:都俞、肺俞、神堂
功 能:背痛、五十肩、下背痛。

使用順序應是看自己喜好.我個人是紅外線烤箱-->蒸氣室--> SPA池
使用紅外線烤箱跟蒸氣室應多補充水份.使用15分鐘應休息一下.避免造成脫水.
================
蒸氣浴跟烤箱的功效有什麼不一樣呢?

蒸氣室:43度,有水蒸氣所以感覺熱
烤箱:75度,乾熱,
兩者都是促進排汗

烤箱可以讓身體發汗,把有毒物質排出,同時加速血液循環…
護髮,建議是在蒸汽室裡比較適合。
蒸氣浴 Sauna蒸氣室對皮膚好, 但是烤箱對身體才是更好,可以排除體內毒素,清除毛細孔阻塞,幫助體內氣的流動, 對不常運動的人很受用。加速排汗及新陳代謝的速度蒸氣室可以護髮,讓皮膚毛細孔張開,然後可以順便去角質,同時用減肥產品來按摩除水腫,因為蒸汽室比較濕,所以按摩或去角質,清毛孔什麼都比較方便…
不要待超過十五分鐘

蒸氣浴又稱桑拿、土耳其浴,是一種乾洗的沐浴方式。首先將浴室溫度調高,利用熱氣促使人體出汗,然後再沖洗身體。
蒸氣浴提供鬆弛精神的方法,熱是蒸氣浴的主要力量,它是無須運動、或給予心臟壓力,就能達到鬆弛及血液循環的效果,使人們不會感到緊張,只想要安靜的休息。蒸氣浴可以增加我們的體力和活力,消除肌肉疲勞和精神緊張,使我們有更多的能量去面對每天的壓力和緊張。

現代科學研究證明蒸氣療法是通過熱的作用,可以加速血液、淋巴液的循環、促進新陳代謝、開發汗孔、活血通筋、排除體內毒素去除風寒、溼熱、通過全身薰蒸可緩解症狀,清潔肌膚、消除肥胖、有利於疾病治療。
【功能】*活化肌膚、改善呼吸器官 *促進新陳代謝 *瘦身美容

標準傳統的三溫暖是包含數次熱冷循環,熱房較適當的停留時間是5~20分鐘,有專家建議不要超過15分鐘。暴露熱房後,隨之是冷卻 (cool-off)步驟:浸入冰水,或沖冷水浴,或室溫下休息。
想要洗幾次熱冷循環則隨個人偏好,經過數次熱冷循環後,欲使身體恢復體溫並停止流汗,約需30分鐘的休息。
一般而言,洗一次三溫暖下來體重則會減輕0.5~1公斤。

【三溫暖前】徹底潔淨 為排毒做好準備 工作一天,疲勞持續累積,下班後抵達三溫暖的第一件事,就是洗澡、卸妝,為大量排汗做好「暖身儀式」。這不僅是基本禮儀,徹底洗淨後毛孔暢通,流的汗也會比較多(也不會有難聞的汗臭味),想要一舉紓壓、排汗都暢快無阻!

【三溫暖進行中】反覆進出烤箱or蒸氣室 大量發汗 促進新陳代謝!
清洗後,正確洗三溫暖的方法是:反覆去蒸氣室、烤箱(目的都用「熱」促進循環),再到冷熱池「收緊」肌膚,先大量排汗、再緊縮毛孔。蒸氣室溫度大約50度左右,可利用熱蒸氣促進循環;進入烤箱則會大量發汗,加速血循。為了不讓肌膚「烤」乾潮紅,進入前最好擦點身體油與臉部乳液,形成一道保護膜。

烤箱 美國太空總署(NASA)研究報告指出在紅外線內,對人體有幫助的6-14微米遠紅外線,能滲透人體內部15CM,從內部發熱。從體內開始作用,能促進微血管的擴張,使血液循環順暢,達到新陳代謝的目的,盡而增加身體的免疫力(抵抗力)及治癒力。
【功能】 *促進血液循環、新陳代謝。*常保氣色紅嫩、肌膚容光煥發


洗三溫暖正確方法
國內一般流行的三溫暖設備,包括攝氏80~90℃的高溫蒸氣室、乾烤箱、以及冷、熱、冰三種不同溫度的池子。使用者先洗淨身體,在蒸氣室中蒸的"膨皮膨皮"或在烤箱烤的"燒騰騰",臉紅心跳、汗流不止,接著再咬牙跳入令人抖擻的冷水池或冰水池中,藉著數次的熱冷循環,使身體肌肉放鬆達到舒解壓力之目的。

洗三溫暖的目的主要是身體和情緒的鬆弛,少部分是洗淨和社交。
最錯誤的觀念是,洗三溫暖做長時間的停留或減肥。

標準傳統的三溫暖是包含數次熱冷循環,熱房較適當的停留時間是5~20分鐘,有專家建議不要超過15分鐘。暴露熱房後,隨之是冷卻 (cool-off)步驟:浸入冰水,或沖冷水浴,或室溫下休息。想要洗幾次熱冷循環則隨個人偏好,經過數次熱冷循環後,欲使身體恢復體溫並停止流汗,約需30分鐘的休息。

一般而言,洗一次三溫暖下來體重則會減輕0.5~1公斤。

http://chenron.pixnet.net/blog/post/324173126-%E8%92%B8%E6%B0%A3%E6%B5%B4%E8%B7%9F%E7%83%A4%E7%AE%B1%E7%9A%84%E5%8A%9F%E6%95%88%E6%9C%89%E4%BB%80%E9%BA%BC%E4%B8%8D%E4%B8%80%E6%A8%A3%3F-%E6%B4%97%E4%B8%89%E6%BA%AB%E6%9A%96

 溦東峰游泳池 4.4
室內游泳池 ·
401台中市東區七中路37號
04 2281 9388
營業中:  06:00–22:00

國立中興大學附屬高級中學游泳池  4.3
游泳池 · 東榮路369號

大里假期游泳池 4.0
游泳池 · 文心南路1310號
營業至 上午11:45

美誼溫水游泳池
4.1
游泳池 · 五權西路一段224號
營業至 下午10:00

太平洋假期室內溫水游泳池
4.2
游泳池 · 中興東路6號
營業至 上午11:50

來來溫水游泳池
3.5
游泳池 · 成功路547號
營業至 上午11:30

假期室內溫水游泳池
3.8
健身房 · 青海路一段130-1號
營業至 上午11:50

文山溫水游泳池
4.0
游泳池 · 文山南巷301號
營業至 下午10:00

烏日溫水游泳池
4.1
游泳池 · 慶光路798號

洋洋游泳池
4.0
游泳池 · 振福路559號
營業至 下午9:00

帝亞室內溫水游泳池健康水療館
4.2
公立游泳池 · 豐勢路二段199號
營業至 下午9:30

台中市烏日區溫水游泳池
游泳池 · 慶光路798號號

2017年2月22日 星期三

*牙科_牙齒磨損=>冷熱很敏感

★牙科_牙齒磨損=>冷熱很敏感,酸軟、會痛


*牙齒有磨損嗎?還是有咬到啊!
一般而言,容易忽略牙齒磨損的嚴重性,
還不太酸的時候,以為沒有問題,
開始敏感的時候,常常已經磨得很嚴重。

牙齒有生理性的移動,包括往前、往外。
所以牙齒磨掉一層之後,會往外移動,(不是長長)
繼續磨,繼續移動,感覺都有咬到,沒有縫隙。
結果是牙齒變短、會敏感。

*磨牙嚴重的話,會冷熱敏感,咬東西不受力,
 外觀看起來整顆磨平,或是中間凹陷,看到牙齒第二層,
 也有吃檳榔的人磨到剩下斜三角形,要套假牙都有困難。
(外面一圈白色是牙釉質,中間黃色部分是第二層牙本質) 

*磨牙是一個常見的問題,嚴不嚴重因人而異
  不同的醫師也可能會有不同的見解,不同的建議。
  基本上,已經磨平的牙齒,你認為還能撐多久?

**********************************

* 磨損有需要做假牙嗎?

磨損嚴重的牙齒需要趕快做假牙,

等到痛了,就需要抽神經,牙齒變空心,錯過黃金階段。

需不需要做假牙的關鍵是  會不會磨到痠痛。

************************************
已經磨到會痠痛的牙齒,再做填補的處理,咬起來更酸,受不了。
用填補的話,大牙齒咬合面中間的蛀洞比較適合,比較耐用。
有些鄰接面的蛀牙就容易咬崩掉,越補越嚴重。

發現牙齒有磨損,可以考慮做假牙蓋起來,
有做就不會再磨損,沒有作的會繼續磨損。
而且做金屬牙厚度比較薄,比較容易成功。
美觀和耐用的選擇,有時候要妥協。

*************************************
*需要做幾顆假牙呢?
要不要做、做幾顆,都是你自己做決定。
醫師只是建議較佳處理。

大原則是
做假牙蓋起來,有做就不會再磨損,沒有做的會繼續磨損。
越早做,越容易成功。
一般而言,上顎會磨得較明顯,第一層2mm牙釉質都磨光,
看到的就是第二層較黃的牙本質,旁邊是薄薄的第一層。

第二層才會痠,所以等到會痠了,就是磨很多了。
這時候才要做假牙,車完會痛的機會越大。
有做就不會再磨損,沒有作的會繼續磨損。

上下左右都磨損,一個部位3~4顆,可能高達12~16顆
假牙的價格,從五千起跳,那是行情價。
(物價飛漲,假牙只會越來越貴)

要花筆錢保護起來,以後放心地吃
還是仍然不做假牙,不花錢,以後不要吃太硬
(吃東西不方便?不容易做到?會不會再繼續磨?)
要不要做、做幾顆,都是你自己做決定。

即使你不認同我的看法,你認為你的牙齒還很好,
當然不用做假牙。

*不過,磨損是發生在口內的牙齒,
大多是從小臼齒開始磨損,大臼齒因擔負咀嚼的主要工作,常常磨得比較明顯。

因為是逐漸磨損,患者通常會失去警覺性,
=>因為慢慢磨,又逐漸適應。
平常不覺得是問題,所以也比較不好解釋,
所以本人才把牙科常見的問題,利用圖片、說明,放在部落格,
讓患者、朋友自行上網參考,
多一分了解,多一個選擇。

**********************************
* 磨損的牙齒,有需要抽完神經,再做假牙嗎?

原則上,能不抽神經盡量不抽神經。
牙齒抽神經之後,結構變空心柱子,
=>請參考另一篇"補蛀牙?還是做假牙?"

沒抽神經的牙齒比較完整,比較堅固,有蛀牙會有感覺。

深度蛀牙,可能壞死的牙齒,可以考慮先抽神經,再做牙套保護。

磨損的牙齒,連續好幾顆嚴重磨損,也要確定是哪一顆有壞死、有發炎,才能做治療。
=>原則上,能不抽神經盡量不抽神經。

******************************************************   
*磨牙、牙齒磨損,還不是很敏感、很嚴重的話,你不會覺得很重要,
等到很敏感,喝水就酸的話,卻已經磨太多,不好處理。
******************************************************
*喜歡吃硬的食物、夜間磨牙,磨損嚴重到冷熱會敏感、已經看到第二層(較黃的牙本質),會不會繼續磨?最後變成會酸痛、須抽神經?

患者主訴是=>冷熱很敏感,會痛。
以前吃檳榔,造成牙齒嚴重磨損。
X光片顯示幾乎快磨到根管。
1.還沒很敏感的時候,建議趕快做假牙保護,只有少數聽得進去,
=>
黑心,又沒怎麼樣,叫我做假牙


因為上下左右都有明顯磨損,要覆蓋很多顆,至少得幾萬元。
反而容易造成誤會,得罪患者。

*最近有一個患者,已經嚴重磨損,連前牙也磨損+蛀牙,
咬合高度變低 (像老人家無牙狀態),
做假牙整理後,牙齒外觀、高度、排列重新建立,還好沒有產生痠痛、牙髓壞死的情形
連女朋友都說外觀整個漂亮、變帥了。
花多少錢呢?和你選的假牙材質有關,假牙種類、數目有關。
單價不同,費用也會不同。

2.
現在連喝水都太敏感了,又磨到牙根,怎麼做
=>牙齒磨損的時候,牙齒的自我保護機制是由內部牙本質增生,避免磨損過度、壞死

可是太慢處理的話,通常會有些問題。例如:
根管因增生造成阻塞嚴重,會造成根管治療增加難度。治療可能打折扣。
磨損太多,本來為了保護牙齒,防止繼續磨損,才做假牙保護。
不動不痛,一動了牙齒,到底哪顆牙齒在痛?哪一顆需抽神經?

阻塞的根管,用器械去通了之後,才發現阻塞嚴重,可能通不完整。
這時候才轉診給專科醫師,徒然增加治療的難度。
有時候,X光片顯示根管有鈣化、阻塞,牙齒磨損也比較嚴重的話,
慎重評估之後,有的情況真的太複雜,困難度太高的話,
只好抱歉的說,先觀察是敏感還是發炎,開些消炎止痛的藥控制、減緩症狀,
真的需抽神經、做假牙的話,請你直接到大醫院找專科醫師、名醫吧。

3.
磨損的情況做假牙和一般做假牙不一樣
了解後,認為合理,就相信你的醫師,依照醫矚去做,才能成功,延長牙齒壽命。

==>後面有補充說明 3-1

4.很多台灣籍中年人,沒有良好經濟能力修護缺損的牙齒,會有什麼影響呢?
=>40
歲左右就進入60~70歲缺牙狀況,吃東西不方便,這時候才要做假牙,條件更差。




臼齒都缺損,沒做假牙
右下小臼齒負荷過度,明顯磨損


對咬的上顎犬齒同樣磨損過度


很多人會覺得還能吃東西,就不急著處理,
結果通常是問題更複雜,更難處理,可能花的錢更多,效果更差。

*咬檳榔的人牙齒會磨得很嚴重
喜歡吃硬的食物、夜間磨牙
磨損嚴重到冷熱會敏感、已經看到第二層(較黃的牙本質)
會不會繼續磨?最後變成會酸痛、須抽神經?

已經明顯磨損,還不用抽神經的階段
除了趕快做假牙保護它,
你還有更好的選擇嗎?



◆◆◆◆◆◆◆◆◆◆◆◆◆◆◆◆◆◆◆◆◆◆◆◆

補充說明 3-1

我有一些磨損的病例,做假牙的確會成功的保護。

但磨損和一般做假牙不太一樣 =>不能車很多

所以會稍微提高咬合,或者說  回復正常咬合高度

在過程中需要一段時間去適應,可能3~4星期以上,

調整時間,愈年輕,牙齒移動越快,時間就縮短。

只要有耐心,不要咬太用力,造成牙髓發炎
90%會成功,可以讓你的牙齒變得堅固、耐用!

還要有信心,不要聽到別的醫師亂批評就失去判斷,

又拆掉重做。我真的碰過這種情況。


當然,磨到很敏感才要做假牙,成功率會降低很多,
低到連我都不想碰、不敢碰的程度。
沒把握、怕不好交代,只能轉診。
(一車就痛,根管還不好通)

◆◆◆◆◆◆◆◆◆◆◆◆◆◆◆◆◆◆

最近有個阿伯

第一次
主訴:痠痛
檢查、評估,有明顯的磨損,造成敏感、痠痛。
可能的處理 =>建議趁著還沒磨壞之前,做假牙保護。
上下左右都磨損,一個部位3~4顆,3 X4=12顆,4X4=16顆,假牙行情5000.~6000,
算起來要花不少錢。
以前沒人講,一直磨,現在變成太敏感。
有座有保護。
要不要做,要做哪幾顆,都是患者自己要做決定,畢竟患者要花錢的。
前提是要先確定牙齒有沒有需要治療。
由於已經明顯磨損,根管有點阻塞, 再約診,確定有需要的話再根管治療。
治療後不痛了才能做假牙。

處置:洗牙
開藥 

第二次
再次檢查,敲診不痛,表示痠痛主要是是磨損+冷熱刺激導致, 
牙髓神經還好,建議可以先觀察,不必急著抽神經。

而且那麼多顆磨損, =>請患者先確認哪一顆在痛,有需要再做治療。
既然還沒有發炎,先不要抽神經
開消炎、止痛,有需要的話先吃藥。 

檢查結果,可能要做的處理都告知了,
患者表示做假牙太貴了,年紀也大了,沒辦法。
所以告知先觀察, 避免冷熱刺激,不要咬太硬的,才不會磨太快,磨壞掉。 

舌頭左側痛,可能是牙齒邊緣磨得太銳利刮傷,告以食鹽水漱口+開藥

因為只是討論治療計畫, 假牙患者決定不做。
根管先觀察。同時告知根管阻塞的話,怕治療打折扣,
又是中國王天美主任的同學,=>尊重前輩,不收掛號費。

慎重評估之後,情況真的太複雜,困難度太高,
慎重起見,建議到大醫院找專科醫師,以免根管通不下去了才轉診。

************************
結果是:老闆跟我說
患者已經去國軍醫院抽神經,抽了兩顆。
說我沒幫他治療,讓他痛得要死
還要騙他做假牙,費用將近十萬元
要求道歉,還要賠償。
否則要在LINE各群組廣發XX牙醫騙人做假牙,費用將近十萬元的文宣

唉!因為門診談到可能要做假牙會給患者壓力,怕患者有壓力,造成誤會。
我才用文章的方式,搭配圖片,讓患者自己參考,多一分了解,多一個選擇。

看到磨損,不講的話患者會以為沒事,繼續磨損,錯過黃金處理階段。
告訴患者牙齒磨損,為了避免誤會,只能花些時間解釋,
也特別強調,上網看,有說明、有圖片,比較容易了解,
看了文章之後,要怎麼處理,就是你要決定,不是我決定。
千萬不要誤會,別的醫師看沒事,給我看就要做假牙,講得那麼嚴重。

你覺得有道哩,不妨參考我的建議處理,
你覺得不做假牙,那也是你的選擇。
該跟你講的,我也已經說過了,讓你多一個參考而已。


兢兢業業的本著良知執行業務,告知檢查所見,結果變成騙子,要賠償。
這種病人的心態,對我的工作打擊很大,我當下告訴老闆,
很抱歉造成你的困饒。
第二次門診,敲診時患者說不痛,還不能確認哪一顆壞掉,
先觀察需不需要抽神經,
檢查、分析問題、說明可能要做的處理和估計費用。
開藥備用。
我在門診做的處理都是合理的。而且是以患者的利益來考量的。

如果編個自以為是的理由,不給優惠就要利用LINE在各群組大量散布不利診所的言論,
讓醫師擔心造成診所的困難,這跟勒索有什麼差別?
他敢散布不實消息,意圖損害診所的名譽,總會有人跟你告知,就截圖為證告他。
我的建議是交給保險公司處理,
或者請他直接到簡易法庭控告,由法院裁定。

患者毀謗我是騙子,已經是公開損壞名譽,屆時順便提告。
如果患者輸了就登報道歉。

畢竟一個診所要維持,要得到患者的認同,是要很用心地經營。
不能有人一勒索,就遷就,那還怎麼經營?

我一直認為,應該如實告知患者檢查所見及其重要性、後續影響。
原來我是錯的,把所有人當成好人。

強烈建議公會積極推動,(健保卡怕牽涉隱私的問題),
利用醫療網路,留一個欄位,給診所通報,成立資料庫
凡是有醫療糾紛的、不付錢的、耍流氓的、人格有缺陷、
心理、精神異常等,建立資料庫,讓會員有個預警。
避免惡質患者遊走於各醫療院所之間製造糾紛,藉機勒索。

台灣最驕傲的健保總額制度使醫師變成廉價勞工,
加上病態社會隱藏諸多惡質患者,許多醫師提出箴言卻不見改善,
(可參考

"台灣的健保、醫病關係"

http://phototw.blogspot.tw/2018/04/blog-post_20.html"))

或許我該考慮提早退休了。
至於磨損之類的問題,留給名醫去處理吧。

告訴人家真話,自己卻被冠以騙子的名義,
只有台灣的社會才會發生吧!
唉!
幫助患者的前提之下,還是要明哲保身。
都市叢林,適者生存

該患者告訴老闆,要廣泛散佈不利於診所的言論,
讓老闆擔心記者未查證就上報、害怕診所會經營困難  =>這是恐嚇

要求賠償,或不符合常理的優惠 =>這是勒索

◆◆◆◆◆◆◆◆◆◆◆◆◆◆◆◆◆◆◆◆◆◆◆◆


還能吃東西,所以不覺得缺牙很重要。


結果是連上、下前牙都造成明顯的磨損
一咬就酸


後面缺牙,前面再磨壞,你覺得這問題重要嗎?
才中年而已,後面幾十年,怎麼吃東西呢?

◆◆◆◆◆◆◆◆◆◆◆◆◆◆◆◆◆◆◆◆◆◆◆◆

★牙科 參考目錄 _~蔡議德醫師

http://phototw.blogspot.tw/2018/03/blog-post_27.html

◆◆◆◆◆◆◆◆◆◆◆◆◆◆◆◆◆◆◆◆◆◆◆◆